Siswa SMK Samarinda Meninggal, Benarkah Sepatu Kekecilan Bisa Berbahaya
Kabar duka datang dari Samarinda, Kalimantan Timur. Seorang siswa SMK kelas XI bernama Mandala Rizky Syaputra meninggal dunia setelah sebelumnya...
Read more
Blighted ovum, atau kehamilan anembrionik, adalah jenis keguguran yang terjadi sangat dini dalam kehamilan. Kondisi ini terjadi saat sel telur yang sudah dibuahi berhasil menempel di dinding rahim, tetapi tidak berkembang menjadi embrio. Akibatnya, kantung kehamilan tetap kosong dan akhirnya menyebabkan keguguran pada trimester pertama.
Blighted ovum termasuk salah satu penyebab utama keguguran pada trimester pertama. Menurut Cleveland Clinic, kondisi ini bisa terjadi sebelum seseorang menyadari dirinya sedang hamil. Meskipun tidak ada embrio yang terbentuk, tubuh tetap menghasilkan hormon kehamilan karena kantung kehamilan dan plasenta tetap tumbuh. Ini menyebabkan gejala kehamilan awal seperti mual, nyeri payudara, dan bahkan hasil tes kehamilan positif.
Blighted ovum biasanya terjadi sekitar minggu keempat hingga kesembilan kehamilan. Dalam perkembangan normal, sel telur yang dibuahi akan berkembang menjadi blastosit dan menempel di rahim. Seharusnya, embrio mulai tumbuh di dalam kantung kehamilan. Namun dalam kasus ini, pertumbuhan embrio berhenti atau tidak pernah terjadi sejak awal.
Cleveland Clinic menjelaskan bahwa kondisi ini bisa dikenali melalui tiga situasi:
Kehamilan tidak terdeteksi karena terjadi sangat awal.
Tes kehamilan menunjukkan positif, tetapi saat USG tidak ditemukan embrio.
Muncul tanda-tanda kehamilan yang diikuti keguguran spontan.
Dalam banyak kasus, blighted ovum tidak menimbulkan gejala yang jelas. Namun, beberapa tanda yang mungkin muncul meliputi:
Perdarahan vagina: Bisa berupa bercak ringan, perdarahan aktif, atau keluarnya jaringan berwarna abu-abu.
Kram perut: Rasa nyeri sedang hingga ringan di bagian panggul atau perut bawah.
Gejala awal kehamilan: Seperti mual atau nyeri payudara, meskipun kehamilan sebenarnya tidak berkembang.
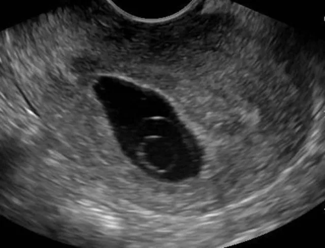
Satu-satunya cara pasti untuk memastikan blighted ovum adalah melalui pemeriksaan ultrasonografi transvaginal, yang menunjukkan kantung kehamilan kosong.
Blighted ovum umumnya disebabkan oleh masalah kromosom yang terjadi saat proses pembelahan sel. Hal ini bisa terjadi karena kualitas sel telur atau sperma yang buruk, atau karena kesalahan genetik yang terjadi secara acak.
Menurut Cleveland Clinic, pada saat konsepsi, sel telur yang dibuahi mulai membelah dan membentuk embrio. Dalam kasus blighted ovum, tubuh kemungkinan besar menghentikan kehamilan secara alami karena mendeteksi ketidaksesuaian genetik.
Meskipun penyebab pastinya tidak selalu diketahui, beberapa faktor yang dapat meningkatkan risiko blighted ovum antara lain:
Usia ibu di atas 35 tahun
Riwayat keguguran sebelumnya
Adanya infeksi atau kondisi medis tertentu yang tidak terkontrol
Komplikasi dari blighted ovum tergolong jarang, namun bisa saja muncul. Beberapa di antaranya:
Perdarahan hebat atau hemoragi
Infeksi rahim
Luka pada rahim akibat prosedur kuret (D&C)
Luka pada dinding rahim akibat tindakan medis
Dokter akan mendiagnosis blighted ovum melalui USG transvaginal antara minggu ke-7 hingga ke-9 kehamilan. Pada usia kehamilan tersebut, embrio seharusnya sudah terlihat. Jika tidak ada embrio di dalam kantung kehamilan, maka diagnosis blighted ovum kemungkinan besar ditegakkan.
Selain USG, dokter bisa melakukan tes kadar hormon hCG (human chorionic gonadotropin). Jika kadar hCG tidak meningkat seperti seharusnya, ini dapat menjadi tanda adanya komplikasi kehamilan, termasuk blighted ovum.
Penanganan blighted ovum tergantung pada kondisi dan preferensi pasien. Menurut Cleveland Clinic, pilihan pengobatan meliputi:
Tubuh secara alami akan mengeluarkan jaringan kehamilan melalui vagina. Ini bisa memakan waktu beberapa hari atau minggu. Saat proses ini terjadi, pasien akan mengalami kram dan perdarahan.
Dilakukan bila tubuh tidak mampu mengeluarkan jaringan kehamilan sendiri. Prosedur ini dilakukan di bawah anestesi, di mana dokter membersihkan rahim dari sisa jaringan kehamilan.
Dokter dapat meresepkan misoprostol, dengan atau tanpa mifepristone, untuk merangsang tubuh agar memulai proses keguguran. Efeknya biasanya dirasakan dalam 30 menit hingga 10 jam setelah konsumsi obat.
Pemulihan fisik dapat berlangsung antara 1 hingga 4 minggu. Kram bisa dirasakan selama satu minggu, sementara perdarahan ringan bisa berlangsung beberapa minggu. Aktivitas normal dapat dilanjutkan sesuai kenyamanan, namun olahraga berat atau aktivitas fisik disarankan untuk ditunda agar tidak memperparah perdarahan.
Sebagian besar orang akan mengalami menstruasi kembali dalam 4–6 minggu setelah blighted ovum. Secara emosional, pemulihan bisa berlangsung lebih lama. Rasa sedih, bingung, hingga marah merupakan hal yang wajar.
Kabar baiknya, mayoritas wanita yang mengalami blighted ovum dapat hamil kembali secara normal dan menjalani kehamilan sehat hingga persalinan. Biasanya dokter menyarankan menunggu hingga dua siklus menstruasi normal sebelum mencoba hamil lagi.
Namun jika blighted ovum terjadi berulang, dokter dapat merekomendasikan pemeriksaan genetik untuk mengetahui penyebab mendasarnya.
Hingga saat ini tidak ada cara yang pasti untuk mencegah blighted ovum. Meski begitu, jika mengalami keguguran berulang, tes genetik terhadap jaringan kehamilan bisa membantu mengidentifikasi masalah kromosom.
Segera hubungi tenaga medis bila mengalami gejala seperti:
Perdarahan berlebihan (lebih dari dua pembalut per jam selama dua jam berturut-turut)
Nyeri hebat yang tidak membaik dengan obat
Pingsan, jantung berdebar, atau wajah pucat
Demam tinggi yang tidak kunjung turun
Dalam kondisi tersebut, perawatan darurat di rumah sakit sangat dianjurkan.
Referensi: Cleveland Clinic
Temukan berbagai artikel menarik dan inspiratif di halaman 👉 Kumpulan Artikel dan Berita Kesehatan Terpopuler 2026 . Dari berita terbaru, tips, hingga kisah menarik seputar dunia kesehatan — semua ada di sana!
Ikuti Saluran Resmi Trenmedia di WhatsApp!
Dapatkan berita terkini, tren viral, serta tips inspiratif langsung dari redaksi.
📱 Saluran Trenmedia 🍳 Saluran Resep Masakan Viral
Klik dan bergabung sekarang – update terbaru langsung masuk ke WhatsApp kamu!
OpenAI resmi meluncurkan model kecerdasan buatan terbaru bernama GPT 5.5 Instant. Model ini langsung menjadi model default di layanan ChatGPT,...
Apple dikabarkan mulai mempertimbangkan langkah strategis baru dalam produksi chip yang digunakan pada perangkatnya. Selama ini, perusahaan tersebut sangat bergantung...